6 Frequently Asked Questions - When You Suspect A Fish Bone Stuck In Throat
Do I Have a Fish Bone Stuck In Throat?
A suspected fishbone stuck in the throat is one of the most common accidental ingestion cases that ENT specialists see whilst on call. Singaporeans, and the older Chinese in particular, have a habit of putting the entire piece of bony fish, small bones and all, into their mouth, before picking out the bones one by one. The use of chopsticks to eat fish also contributes to this, as it is difficult to use chopsticks to removes the bones before putting the fish in the mouth. This leads to a high incidence of accidentally swallowing fish bones.
In Western countries, this is less common as one usually removes most fish bones whilst preparing fish; or fish have already been filleted before cooking. We relate the story of a patient who was seen recently for fish bone impaction.
Does He Have A Bone In Throat?
David, a 73 year old man, was eating fish for lunch using chopsticks when he had sharp pain in his throat, and thought he swallowed a fish bone. As per his friends’ advice, he tried to eat a clump of cooked rice to push the bone down, but to no avail. He was not in too much discomfort, and managed to continue eating his lunch.
After his lunch, when he returned home, he still felt a niggling discomfort in his throat, but was unsure if he had swallowed a fish bone in the throat. He tried again to swallow a large clump of cooked rice, followed by a large cup of water but still felt some discomfort. He then tried gargling a cup of white vinegar to try and dissolve the bone, but to no avail. By this time, the discomfort had subsided and he decided to observe the situation for now.
When it was time for dinner, he was able to eat, but still felt some discomfort. To give himself some peace of mind, he decided to visit an ENT Specialist for a review, and to see if his throat was stuck with fish bone.
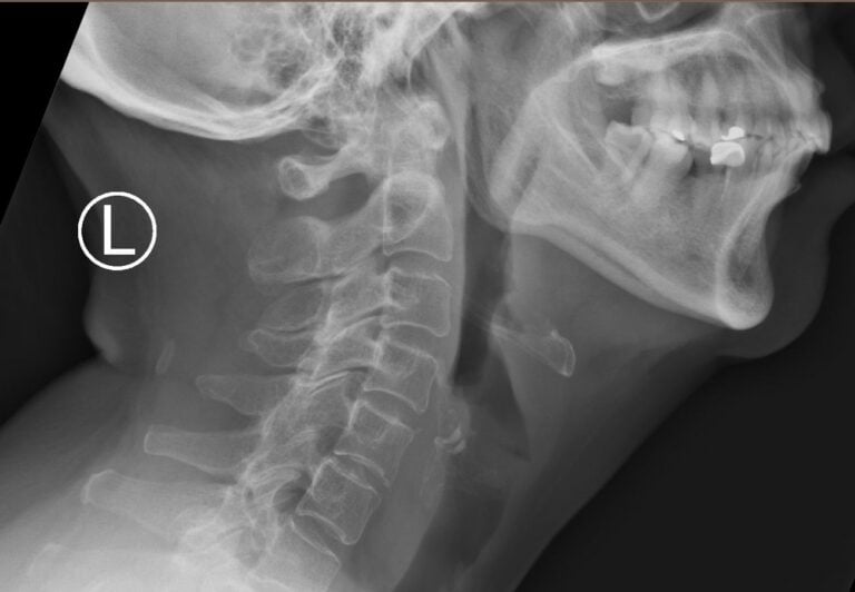
This patient was seen by us in the Accident & Emergency Department. He did not complain of any overt swallowed fish bone symptoms except for mild throat discomfort. An X-ray of the neck showed no fish bone in the throat. Examination of the mouth and the region of the tonsils revealed no fish bone in the throat. However, it is routine to perform flexible nasoendoscopy (putting a small flexible camera) down the nose and deeper down the throat, to rule out any fish bone in the throat further down, or foreign body lodged in the throat. This procedure revealed a fish bone lying horizontally, stuck at the back of the tongue, in front of the voice box. This would not have been seen with a routine examination of the mouth and oral cavity.
Some topical anaesthesia spray was applied to David’s nose and throat, and the fish bone inside throat was removed with a pair of grasping forceps passed down the nasoendoscope.
David’s symptoms were relieved, and he found it much easier to swallow without throat discomfort. The fishbone was retrieved and kept as a souvenir, and he went home happy that he had made the decision to consult an ENT Specialist, rather than leave the small fish bone stuck overnight.
Fish bone lying horizontally at the back of the tongue and behind the voice box
Flexible nasoendoscope and grasper used to retrieve fish bone
Fish bone retrieved and returned to patient
Fish bone seen stuck at the back of the tongue
Repeat X-ray after fish bone removal
Can A Fishbone Stuck In Throat Kill You?
It depends. A swallowed fish bone stuck in the region of the tonsils and the bottom of the tongue, like in David’s case, is unlikely to kill you in the short term. However, fish bones can also be stuck lower down in the throat, and in the region of the food pipe (esophagus). Such fish bones, if ignored, can lead to symptoms such as an inability to eat and drink, and chest pain. In very rare cases, life threatening complications may occur. A swallowed fishbone penetrating the food pipe with its sharp edges and subsequently migrating into into the neck can puncture the lung, or even large blood vessels causing death.
What Happens If I Have A Fish Bone Stuck In The Throat For Days?
Again, this depends where it is stuck. If it is stuck in the throat in the region of the back of tongue or the tonsils, it could stay there for days with niggling symptoms. However, the longer the fish bone is stuck, there is a greater chance of it causing complications or becoming infected
How Long Can A Fishbone Stay In Your Throat?
There is no set time limit for a swallowed fishbone to stay in your throat if it is not removed. We have seen patients who have tolerated discomfort for a week or more before coming to see us and having it removed.
What Tests Can Be Done To Evaluate A Swallowed Fish Bone?
The mainstay of investigations include:
- A neck X-ray taken from the side to see if there is a bone in the throat
- A computed tomography (CT Scan)
- A CT scan is a three-dimensional form of imaging which can be more accurate in detection if suspicion is high
- Flexible nasoendoscopy, where a small thin camera in a flexible tube is passed down the nose to the throat to provide a direct view
How Do Doctors Get Rid Of A Fishbone In The Throat?
There are a few ways to remove a fishbone stuck in the throat, and this depends whether it has entered the esophagus, or whether the fish bone is still in the throat. In the latter case, it can usually be removed with a flexible nasoendoscope and a pair of grasping forceps. However, if it has entered the esophagus, this requires a general anaesthetic and removal with a rigid instrument
What Are Symptoms Of A Swallowed Fishbone In The Throat?
The throat symptoms can vary greatly. In David’s case, he was in slight discomfort but still able to eat. Common symptoms would include persistent throat discomfort, blood-tinged saliva and a sensation of a lump or poking pain in the throat. If the swallowed fishbone has gone into the esophagus, the patient may experience chest discomfort or cough up blood stained secretions; or if it has gone down the digestive tract, it will most likely be passed out without issues.
Will A Fishbone Dissolve In Throat?
No one likes to see a doctor, or drag themselves to hospital to remove a possible fishbone in throat. Some patients are also embarrassed about swallowing a fishbone, and hope that with conservative treatment or with time, the fishbone will dissolve in throat. However, the chance of it dissolving is exactly zero, Studies have been done where fishbones have been placed in acidic conditions, such as in vinegar or in cola in an attempt to assess if this is possible. These studies have shown that even after 3 months, they are still intact.
What Are Some Home Remedies That Work To Remove A Fish Bone In Throat?
Various home remedies for a fish bone in the throat have been passed down over the years. This include eating large clumps of well cooked rice, swallowing olive oil, drinking vinegar to dissolve the fish bone inside throat, and sticking your finger down the throat to try and dislodge the swallowed fishbone. In our experience, none of these home remedies work and can potentially exacerbate the problem.
Many patients ask if there is any medicine for stuck fish bones, or whether fish bones will dissolve in the throat. The answer to these questions, is a firm NO. For a suspected fishbone in the throat, it is best to seek medical expertise and attention at either a general practitioner or ENT specialist who can evaluate the condition accurately and provide treatment. Call us today for immediate treatment!
For swallowed chicken bones, see our companion article here.